Ophtalmo-Laser Majorelle
Dr Oulmidi Anas

Rétinographie et Champ Visuel

Examens spécialisés pour le dépistage et le suivi du glaucome, DMLA et maladies rétiniennes

Rétinographie et Champ Visuel

Examens spécialisés pour une vision optimale

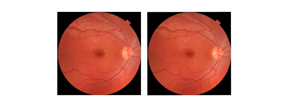
La rétinographie et l'examen du champ visuel sont des examens ophtalmologiques essentiels pour évaluer la santé de votre rétine et détecter précocement diverses pathologies oculaires.

Ces examens permettent de visualiser et d'analyser la rétine, le nerf optique et le champ visuel, offrant ainsi une évaluation complète de votre santé oculaire.

Nos examens spécialisés :

  • Rétinographie numérique haute définition
  • Champ visuel automatisé
  • Angiographie rétinienne
  • Dépistage du glaucome
  • Suivi de la DMLA (Dégénérescence Maculaire Liée à l'Âge)
  • Évaluation des maladies rétiniennes
Prendre rendez-vous

Pourquoi ces examens sont-ils importants ?

Dépistage Précoce

Détection des pathologies oculaires avant l'apparition des symptômes

Suivi Personnalisé

Évaluation précise de l'évolution des maladies chroniques

Prévention

Identification des facteurs de risque pour préserver votre vision

Documentation

Archivage numérique pour comparaison lors des consultations futures

Pathologies détectées et suivies

Glaucome

Maladie dégénérative du nerf optique qui entraîne une perte progressive de la vision

DMLA

Dégénérescence Maculaire Liée à l'Âge affectant la vision centrale

Rétinopathie Diabétique

Complication du diabète affectant les vaisseaux sanguins de la rétine

Occlusions Veineuses Rétiniennes

Obstruction des veines de la rétine pouvant entraîner une baisse de vision

Décollement de Rétine

Séparation de la rétine de son support nécessitant une intervention urgente

Pathologies Héréditaires

Maladies génétiques affectant la rétine comme la rétinite pigmentaire

Examen du champ visuel

Comment se déroulent ces examens ?

Rétinographie

La rétinographie est un examen rapide et indolore qui permet de photographier le fond de l'œil. Après dilatation de la pupille, un appareil spécialisé prend des clichés haute définition de votre rétine.

Champ Visuel

L'examen du champ visuel évalue votre vision périphérique. Vous serez assis devant un appareil et devrez appuyer sur un bouton chaque fois que vous percevrez une lumière dans votre champ de vision.

Durée et préparation

Ces examens durent généralement entre 15 et 30 minutes chacun. Pour la rétinographie, des gouttes seront instillées pour dilater vos pupilles, ce qui peut temporairement rendre votre vision floue et sensible à la lumière.

Programmer un examen